무릎 통증 해결을 위한 혁신적 접근: 절골수술과 연골재생

생활문화


생활문화

무릎 통증 해결을 위한 혁신적 접근: 절골수술과 연골재생

M 송기자 0 11,918 2024.02.13 10:36

491100eef8b39ed66b9b4bd0f40d7ece_1707788163_462.jpg
 


무릎 관절의 통증과 기능 장애는 전 세계 수백만 명의 사람들이 겪고 있는 공통된 건강 문제입니다. 이러한 문제를 해결하기 위한 의학적 접근법 중에서도, 절골수술과 연골재생은 주목할 만한 치료 방법으로 부상하고 있습니다. 이 두 가지 방법은 무릎 관절의 기능을 개선하고, 통증을 줄이며, 환자의 삶의 질을 향상시키는 데 목적을 두고 있습니다.


491100eef8b39ed66b9b4bd0f40d7ece_1707788174_678.jpg
 

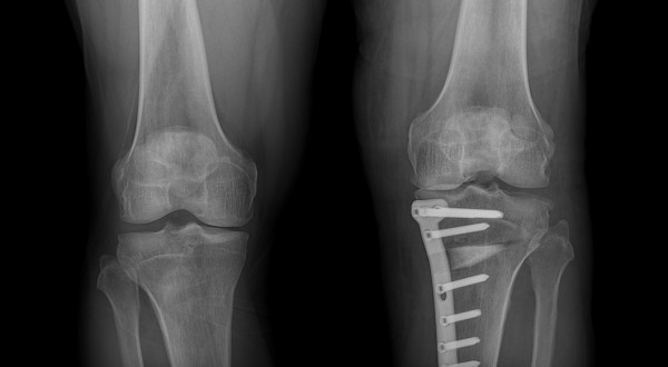
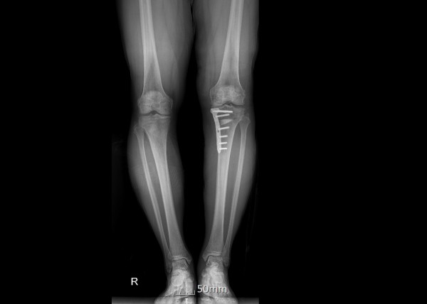
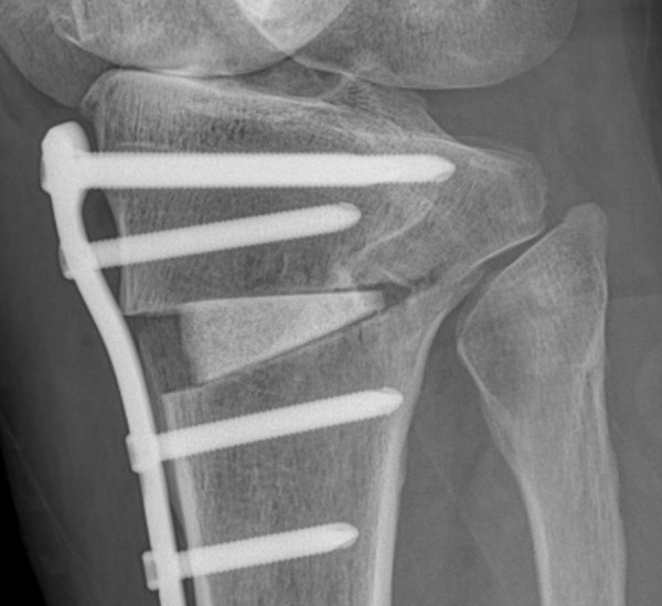
#절골수술(Osteotomy)의 이해


절골수술은 무릎 관절의 비정상적인 정렬을 교정하기 위한 수술적 방법입니다. 이 수술은 주로 관절염으로 인한 통증과 기능 장애를 겪고 있는 환자들에게 시행됩니다. 수술 과정에서는 뼈를 절단하고 재정렬하여 무릎에 가해지는 압력을 분산시킴으로써, 관절에 대한 스트레스를 줄이고 통증을 완화시킵니다. 이러한 접근법은 관절의 수명을 연장시키고, 궁극적으로는 관절 교체 수술을 피할 수 있게 해줍니다.


491100eef8b39ed66b9b4bd0f40d7ece_1707788198_044.jpg
 

#연골재생(Cartilage Regeneration)의 전망


연골재생은 손상된 무릎 연골을 복구하거나 재생하기 위한 치료 방법입니다. 연골은 관절의 부드러운 움직임을 가능하게 하는 중요한 조직이지만, 한 번 손상되면 자연적으로 회복되기 어렵습니다. 연골재생 치료는 줄기세포 치료, 자가 연골 세포 이식(ACI), 그리고 혈소판이 풍부한 혈장(PRP) 치료 등 다양한 기술을 포함합니다. 이러한 기술은 손상된 연골의 회복을 촉진하고, 무릎 관절의 기능을 개선하며, 장기적인 관절 건강을 지원합니다.


#이점과 위험


절골수술과 연골재생 모두 무릎 관절의 통증을 줄이고 기능을 개선할 수 있는 유망한 치료법입니다. 환자는 수술 후 더 활동적인 생활을 할 수 있게 되며, 관절의 건강과 수명이 향상됩니다. 그러나 이러한 접근법은 수술 관련 위험, 장기적인 회복 과정, 그리고 개인별 치료 반응의 차이 등을 고려해야 합니다.


#결론


무릎 절골수


술과 연골재생은 무릎 통증과 관절 기능 장애를 겪는 환자들에게 희망을 제공합니다. 이러한 치료법은 혁신적인 의학적 접근을 통해 무릎 관절의 건강을 개선하고, 환자의 삶의 질을 향상시킬 수 있는 가능성을 보여줍니다. 그러나 치료 계획을 세우기 전에 의료 전문가와 상세한 상담을 통해 개인의 상태와 치료 옵션을 충분히 고려하는 것이 중요합니다.




Comments

번호 포토 분류 제목 글쓴이 날짜 조회
25 복싱 OPBF&WBO 아시아퍼시픽 슈퍼라이트급: 나가타 다이시 vs 김주영 경기 M 송기자 2025.07.16 6585
24 복싱 구승모, 데뷔전에서 값진 패배… 성장 가능성 보여준 슈퍼라이트급 신예 M 송기자 2025.07.08 7276
23 K-pop KPop Demon Hunters: 애니메이션과 케이팝의 경계를 허물다. M 송기자 2025.07.08 7172
22 복싱 "격돌의 날이 온다: 이노우에 나오야 vs 김예준, 복싱계의 뜨거운 대결" M 송기자 2025.01.19 12089
21 K-pop 포레스텔라: 세계를 사로잡은 한국의 크로스오버 현상 M 송기자 2024.02.13 14093
열람중 무릎 통증 해결을 위한 혁신적 접근: 절골수술과 연골재생 M 송기자 2024.02.13 11919
19 직능연 ‘성인 진로교육 정책 수립을 위한 진로교육 수요 분석’ 발표 M 송기자 2023.09.26 12125
18 이브자리, 국제구호단체 기아대책과 기부 약정 15주년 기념행사 M 송기자 2023.09.21 12030
17 혼자 고향 가는 솔로 위한 무료 카풀 매칭 ‘고향길 동반자가 인생 동반자로’ M 송기자 2023.09.21 11073
16 레드페이스, 추석맞이 ‘한가위 감사 이벤트’ 진행 M 송기자 2023.09.21 11252
15 문예출판사, 막스 베버 ‘프로테스탄트 윤리와 자본주의 정신’ 문예인문클래식 출간 M 송기자 2023.09.04 11707
14 엔씨소프트 ‘퍼즈업 아미토이’ 9월 26일 글로벌 출시 M 송기자 2023.09.04 12629
13 페이오니아, 국내 라이브 스트리머 성장 및 비즈니스 창출 위한 지원 확대 M 송기자 2023.09.04 12631
12 좋은땅출판사, ‘로스트 킹덤’ 출간 M 송기자 2021.12.30 14539
11 속죄를 넘어 사랑으로 하나되다 ‘행복을 만드는 웨딩’ M 송기자 2021.12.30 13931
10 브랜드빅데이터연구소, 아파트 브랜드별 빅데이터 호감도 조사… 1위 자이·2위 푸르지오·3위 힐스테이트 M 송기자 2021.10.27 14209
9 렌징, 새로운 매트 타입의 TENCEL™ 브랜드 라이오셀 섬유 출시로 데님의 다양성을 확장하다 M 송기자 2021.10.27 14806
8 에코다인, 장거리 4D 레이더 신제품 ‘에코쉴드’ 발표 M 송기자 2021.10.27 17923
7 네슬레 퓨리나 원, ‘30일간의 건강한 변화’ 캠페인 개최 M 송기자 2021.05.21 16746
6 탐페레시: 루멘 발로, 사라 힐덴 미술관 건축 공모전 우승 M 송기자 2021.05.21 15212
5 경기영상과학고등학교, 학교폭력 예방 위한 ‘깍두기 캠페인’ 동참 전교생 650명 참여, 폭력 없는 아름다운 … M 송기자 2021.05.21 15392
4 루악오디오, 5월 26~30일 코엑스 ‘2021 서울리빙디자인페어’ 참가 출처: 델핀 M 송기자 2021.05.21 14559
3 참 필하모닉 오케스트라, 사랑의달팽이에 인공달팽이관 수술 지원 기금 전달 M 송기자 2021.05.21 15279
2 건국대, 국내 첫 ‘애니멀 헬스 해커톤’ 개최 M 송기자 2020.11.06 14818
1 파페치, 알리바바·리치몬트와 글로벌 파트너십 맺고 명품 업계 디지털화 촉진 M 송기자 2020.11.06 16104

탐사보도 기획취재 문의


032-715-7043
월-금 : 9:30 ~ 17:30
토/일/공휴일 휴무
런치타임 : 12:30 ~ 13:30

문자 제보

정치인이나 기업의 비리를 폭로. 환경오염 문제를 심층적으로 조사. 공공기관의 비효율적 운영 사례를 밝힘.

메일 제보

Facebook Twitter GooglePlus KakaoStory NaverBand